Dental Implant Paitent
Before & After Dental Implants


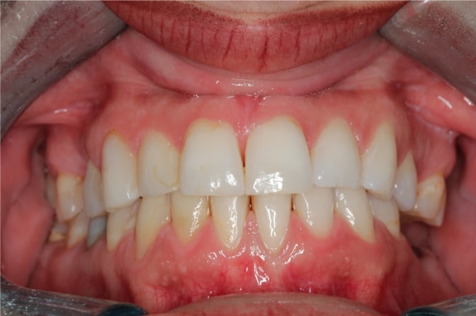
A patient of ours had a fractured tooth that had to be removed as you can see on the patient's left side. She had difficulty chewing anything on her left side. Her top tooth that opposed the area was moving downward because of the empty space below it. Dr. Ash, our in-house implant surgeon, and Dr. Joseph were able to place an implant in the area. This helped the upper tooth stop moving. She was relieved to be able to use her whole mouth to chew again.
.png)

