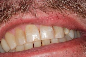
Veneers Patient
Before & After Dental Veneers Treatment
.jpg)
.jpg)
A new patient came to our office concerned about the discoloration on his front teeth. A combination of staining and cavities were causing brown areas on them. Dr. Joseph used white bonding material to repair the cavities and cover the stained areas. Note how well the bonding matched our patient’s teeth and gave him the confidence to fully smile again.
.png)

