Space Closure with Tooth Colored Filling Patient
Before & After Space Closure with Tooth Colored Filling


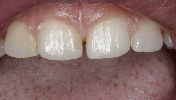
A patient was interested in closing the gap between her two front teeth. The space was making her self-conscious when she smiled. Dr. Joseph added composite material like her tooth color to close the space. The patient has gained confidence that she was missing.
.png)

